smile gallery

BEFORE & AFTER
Dr. Mike Mango specializes in a wide variety of dental procedures promoting excellent oral health and beautiful smiles. Our Smile Gallery contains examples of the amazing reconstructive and restorative capabilities of our dentists and dentistry team.

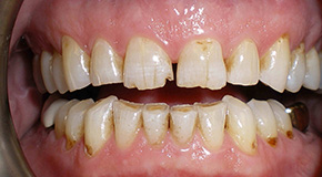
This patient’s teeth were decaying and in need of restoration. Patient wanted to save as many teeth as possible. One tooth needed extraction.

Patient elected for full mouth restoration with porcelain crowns on both the upper and lower teeth, and one lower tooth extraction. Dr. Mike Mango was able to deliver a beautiful outcome. 2023

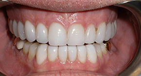
This patient experienced worn dentition, chipped and discoloration of the enamel, and uneven teeth.

Beautiful restoration with porcelain veneers and crowns to primary front “smile teeth” by Dr. Mike Mango. Patient opted not to replace some older crowns on the back teeth.

This patient’s teeth were decaying and in need of restoration.

Restoration and crowns on the upper teeth with excellent color matching by Dr. Mike Mango. 2018

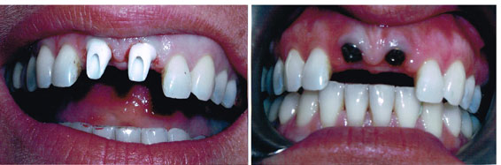
This patient had lost their two front teeth. From a cosmetic and practical view, the loss of these two teeth is compounded due to their prominent placement in the mouth. The patient chose to restore these teeth as seamlessly as possible with dental implants and crowns.

Porcelain crowns custom designed to fit the space, shape, and color were created and delivered by Mango Dental.

This patient had lost the majority of enamel on her teeth from acid erosion and a medication she was on as a child. Her teeth were sensitive and she never smiled because of their appearance.

Porcelain veneers and crowns were placed on the teeth by Dr. Mike Mango to aid in straightening and changing their shape and color, resulting in a gorgeous outcome.

This patient had excessive wear due the constant grinding on his teeth at night while he slept. This is a common problem, and if left untreated could result in serious periodontal disease, and tooth sensitivity.

Patient opted for porcelain crowns and veneers on both the upper and lower teeth, and Dr. Mango was able to enlarge and brighten his smile.

This patient needed a treatment plan to address multiple cavities, chipped, and crooked teeth.

The patient decided to enhance his smile with a beautiful new set of veneers- 6 on top and 6 on bottom- designed and delivered by Dr. Mike Mango.

Before decay

Patient wanted Dr. Mike Mango to restore the front teeth with bonding, which is a minimally invasive cost effective solution.

This patient wanted to improve the appearance of the front teeth without orthodontics.

Dr. Mango delivered crowns on the upper smile teeth. 2018

This patient was missing 2 teeth.

Dr. Mango skillfully shaped bonding material to fill in the missing teeth, which is a very advanced cosmetic procedure requiring a keen eye for artful design. 2023

This patient had discoloration on their teeth, resulting in unsightly white spots and blemishes. The patient requested a restoration with a natural look.

Dr. Mike Mango delivered porcelain veneers on the upper smile teeth. 2015

This patient had a cracked front tooth, which is one of the most common dental injuries.

Dr. Mike Mango delivered porcelain veneers on the upper smile teeth. 2018
